jazzophrenia.ru
  • Разделы
    • Мудрость в деталях

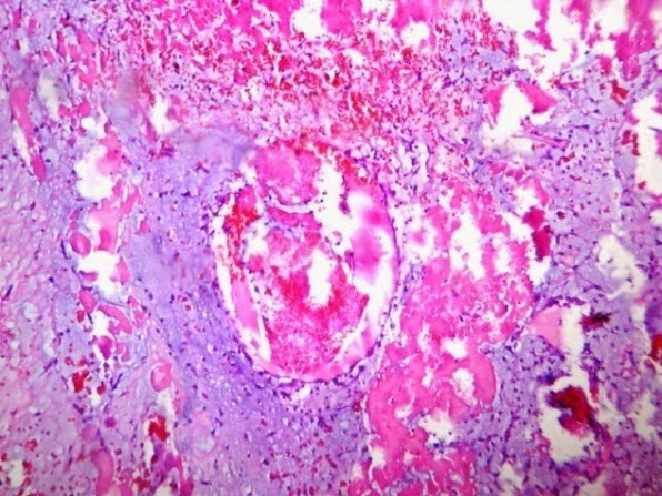
Гистологические особенности карциноида червеобразного отростка


Раздел: Мудрость в деталях
Популярные разделы:
Мудрость в деталях
Смотрите еще:
Мундир генерал-адъютанта: история и традиции
Ягоды асаи в уходе за зубами: как зубная паста может быть полезной
Типы стратегий: классификация и различия
Как признать граждан недостойными наследниками: правовые аспекты
Печорин - Герой нашего времени: Портреты и иллюстрации
Фотографии с примерами целей рекламы во ВКонтакте
Материалы и инфографика по комплексной безопасности ОБЖ
Фото к Date of Love 4: романтические моменты
Copyright © 2010 - 2025 | Отказ от ответственности